Sandhurst & Camberley
Teeth Whitening
Teeth Whitening in
Sandhurst and Camberley
At our dental practice In Sandhurst & Camberley bordering Camberley, we offer a range of services and treatments to uncover your perfect smile. One of our most popular treatments is teeth whitening, which offers an instant lift for immediate teeth makeover results.

Has your smile
lost its sparkle?
Teeth can become dull and discoloured over time due to the food and drink that we consume. Spicy foods, drinks like coffee and red wine and smoking can all cause discolouration to teeth. But don’t worry! We can help to bring back the sparkle with our safe and effective teeth whitening treatment
Patients throughout Camberley, Sandhurst, Crowthorne, Yateley, Blackwater and throughout Surrey are choosing to have their teeth Whitened.

Enlighten Professional Whitening
Trusted by dentists across the UK, Enlighten Whitening guarantees a B1 shade—the brightest natural white—when used as directed. This two-week, dentist-supervised home system offers maximum results with minimal sensitivity.
At Academy Dental Care, we’ll customise the Enlighten experience to deliver safe, stunning results you can trust.
Boutique
Professional Whitening
Boutique Whitening offers powerful, professional results in the comfort of your home. Using custom-made trays and high-strength whitening gel, this system removes deep stains and brightens your smile in as little as two weeks.
Our Sandhurst dentists ensure a perfect fit and provide guidance throughout your treatment. It’s whitening on your terms—with long-lasting results.
White Dental
Beauty
White Dental Beauty is a clinically approved teeth whitening system that delivers impressive results with minimal sensitivity. Ideal for patients seeking a brighter, more youthful smile, this dentist-led treatment is safe and effective.
At Academy Dental Care In Sandhurst & Camberley, we personalise your whitening plan to suit your goals and lifestyle. Book a consultation to find out more.
White Dental
Beauty Strips
Brighten your smile at home with our White Dental Beauty Strips. These professional-grade strips are safe, easy to apply, and designed to gently lift everyday stains from your teeth. With consistent use over 14 days, you’ll notice visibly whiter teeth – no mess or sensitivity.
Ask our Sandhurst dental team how these strips can enhance your smile quickly and conveniently.
Icon Spot
Treatment
Icon Spot Treatment is a gentle, non-invasive solution for white spots and mottling caused by fluorosis or early decay. Unlike traditional methods, Icon requires no drilling, injections, or enamel removal.
In just one visit to Academy Dental Care In Sandhurst & Camberley, you can restore a smoother, more uniform smile—quickly and painlessly.
Benefits of Teeth Whitening
In Sandhurst & Camberley
More people are now paying attention to how their teeth look. This includes the shape, size and colour. If you are like thousands of other patients who are wanting to whiten teeth to improve your smile, then you could consider Boutique teeth whitening here at Academy Dental. The benefits include:
Within a short space of time, your teeth will be whiter and brighter giving you a boost to your confidence and more reason to smile
Whitening your teeth using Boutique means you can whiten teeth in the privacy of your own home at a time that is convenient to you. For most people this means whitening overnight
Boutique is a safe form of teeth whitening which has been approved by our team of dental experts and cosmetic dentists
Whitening your teeth with Boutique means that your treatment is being overseen by a dental specialist who will prescribe the amount and strength of the teeth whitening gel. You are in safe hands
Boutique teeth whitening will give you sparkling results, but it is PH neutral and so won’t damage your teeth. The gentle formula works well for sensitive teeth too
Combine teeth whitening with Invisalign
or Teeth Bonding
More people are now paying attention to how their teeth look. This includes the shape, size and colour. If you are like thousands of other patients who are wanting to whiten teeth to improve your smile, then you could consider Boutique teeth whitening here at Academy Dental. The benefits include:
- Invisalign
- Cosmetic orthodontics
- Teeth bonding
Teeth Whitening After Invisalign in Camberley
Once your teeth have been beautifully straightened by Invisalign braces, you’ll be smiling all day, every day. That’s why we suggest teeth whitening as a follow-up treatment once your Invisalign process is complete so that your smile looks as radiant and bright as you feel.
Teeth Whitening After Composite Bonding in Camberley
Our expert dentists In Sandhurst & Camberley have been applying teeth bonding resin to improve the look and feel of natural teeth for many years.
It can fill in gaps or cracks in teeth, and they use specialist colour charts to ensure the colour of the resin they use matches the colour of your natural teeth perfectly. However, it may be that you would prefer the rest of your teeth to be whiter.
This is the perfect opportunity to choose teeth whitening and lift the colour of your natural teeth here In Sandhurst & Camberley & Camberley so that the resin your dentist chooses can match the colour you would prefer your smile to be.
Teeth Whitening After Invisalign In Sandhurst & Camberley
Once your teeth have been beautifully straightened by Invisalign braces, you’ll be smiling all day, every day. That’s why we suggest teeth whitening as a follow-up treatment once your Invisalign process is complete so that your smile looks as radiant and bright as you feel.
Teeth Whitening After Composite Bonding
In Sandhurst & Camberley
Our expert dentists In Sandhurst & Camberley have been applying teeth bonding resin to improve the look and feel of natural teeth for many years.
It can fill in gaps or cracks in teeth, and they use specialist colour charts to ensure the colour of the resin they use matches the colour of your natural teeth perfectly. However, it may be that you would prefer the rest of your teeth to be whiter.
This is the perfect opportunity to choose teeth whitening and lift the colour of your natural teeth here In Sandhurst & Camberley & Camberley so that the resin your dentist chooses can match the colour you would prefer your smile to be.
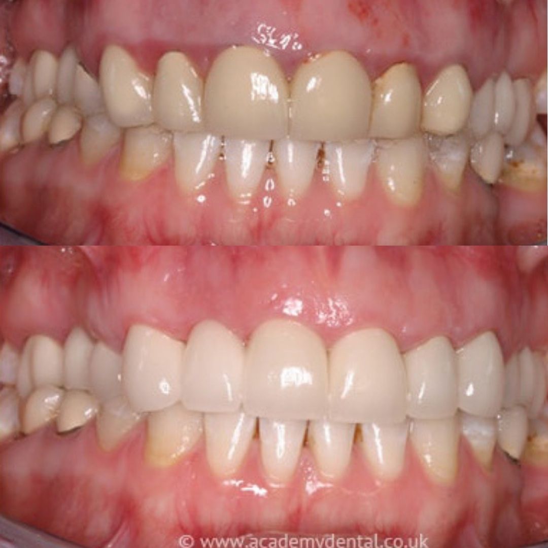
Before & After
Teeth Whitening
Teeth Whitening
Faqs
Does it hurt to have teeth whitened?
No, it should not hurt at all if you are having teeth whitening treatment that is carried out by a dental professional. Some patients may experience some tingling sensations with the teeth whitening gel, but this is not harmful and should not last for long. Talk to your dentist if you have sensitive teeth and they can advise you about the best form of treatment.
Do I need to change my diet whilst I’m using Boutique teeth whitening?
We recommend not consuming dark coloured food or drink for an hour after whitening your teeth each day. Otherwise, you can eat and drink as normal.
Will teeth whitening work on my fillings?
No, you should be aware that teeth whitening will not work on any dental restorations such as dental bonding, veneers, fillings or crowns. It is best to get any cosmetic dental work carried out after you have completed your teeth whitening treatment or update and replace any current restorations.

